
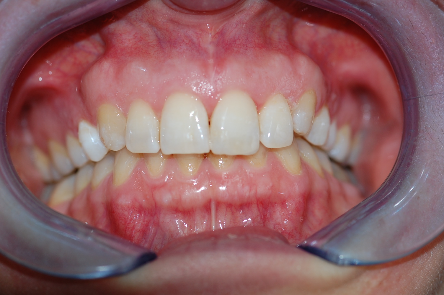
I traumatismi a livello dei denti anteriori posssono essere trattati con metodiche ricostruttive.
Le qualità delle otturazioni si esprimono come quanto maggiormente si avvicinino alle caratteristiche estetiche del dente naturale.
E' un lavoro di precisione, che deve rispettare in maniera rigorosa i principi biologici dei tessuti naturali del dente e le specificità dei materiali impiegati.
Quando le tecniche di realizzo si coniugano con la passione, i risultati sono la bellezza e la naturalezza di un sorriso ritrovato.


